Menu
Home
Meet the Doctor
Meet the Staff
Tour of the Office
Procedures
Smile Gallery
Patient Reviews
Map & Directions
Contact Us
M-TH 8:00am - 5:00pm
Conveniently located at:
4545 Bellaire
Drive South, Suite #1
Fort Worth, TX 76109
across from Tom Thumb
Cosmetic Family Dentist
SMILE GALLERY
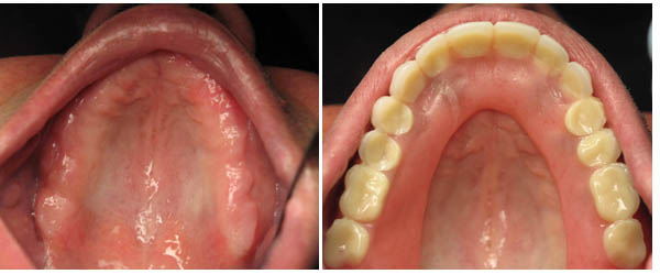
Mini Implant-Supported Denture/Existing Denture Conversion
Veneers
are ultra-thin shells of ceramic (porcelain) or a composite resin material, which are bonded to the front of teeth..
Veneers
Composites
Zoom whitening
Implants
Mini Implant-Supported Denture
Dentures
Smile Transitions